
United States


Arvind Kejriwal Resigns as Delhi Chief Minister

Flappy Bird Timeline - the Origin and End of the Addictive Fluffy Bird

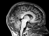
Brain Scans Effective in Detecting Alzheimer's Disease before Symptoms Appear

2nd Test, Day 2 Where to Watch Live: India vs New Zealand Free Live Streaming Information

Woman Carries Dead Foetus for 44 Years

Nokia X aka Normandy Android Smartphone Spotted at Vietnamese Online Store; Price and Specifications Revealed

RIP Marius 2? Another Danish Giraffe Also Called Marius to be Killed?
BBM v2.0 for Android and iOS Devices Released; Brings Free Voice-Call Support, Dropbox Integration and More

'House of Cards' Season 2 Valentine's Day Premiere: Kate Mara, Barack Obama Express Excitement; Details on Netflix Availability

GTA 5: Title Update 1.10 Reintroduces Rat Loader; Valentine's Day Massacre Special DLC now Live

Tinder Dating App Becomes a Rage at Sochi Winter Olympics; Olympic Village a Hotbed of Athlete Hook-Ups

Sony Rolls-out Android v4.3 Jelly Bean OS Update to Xperia T, TX, V

Common Infections may Increase Risk of Memory Decline: Study

Valentine's Day: How is Young Hollywood Celebrating Day of Love?
Advertisement
Advertisement