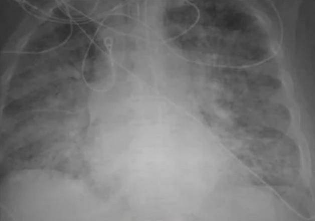
Covid is a deadly respiratory infection that has already killed more than 4.4 million people worldwide. Even though the vaccination rollout is progressing steadily in countries all across the world, the Delta variant of coronavirus is spreading like wildfire in many regions. And now, a doctor from the United States has exposed the dangers posed by Covid on the lungs of unvaccinated people. The X-ray image shared by the doctor shows the lungs of an unvaccinated person ravaged by the coronavirus infection, and in another image, the lungs seem less affected, as the person is vaccinated.
Covid is a lung killer
Dr Ghassan Kamel, director of the Medical ICU at SSM Health Saint Louis University Hospital in Missouri revealed that healthy lungs usually appear black in X-rays. According to Kamel, the dark contrast indicates that the lungs are full of oxygen and are performing well.

However, this was not the case for a person who contracted Covid infection before getting vaccinated. The lungs of the unvaccinated person appear milky-white on the X-rays, which indicates that the lungs have suffered extensive damage, build-up of mucus, and lack of sufficient oxygen. Covid patients who are unvaccinated may develop severe complications, and sometimes, they need to be put on life support as their lungs simply struggle to keep them alive.
"With the X-ray looking like that, they'd definitely at least require oxygen, and sometimes they would require more than just oxygen. They might require the ventilator or get intubated on mechanical ventilation, sedated, and basically on life support," Kamel told KSDK News.
Delta variant has an affinity towards lung cells
Recently, Dr NK Arora, head of coronavirus working group National Technical Advisory Group on Immunisation (NTAGI) in India had revealed that the Delta variant of Covid has more affinity towards lung cells.
"Delta plus is having a greater affinity to the mucosal lining in the lungs, higher compared to other variants, but if it causes damage or not, is not clear yet. It also does not mean that this variant will cause more severe disease or it is more transmissible," said Arora.

 
                                                                         
                                                                         
                                                                         
                                                                         
                                                                         
                                                                         
                                                                         
                                                                         
                                                                         
                                                                         
                                                                         
                                                                        


